-
목차
1. 벡터 전염병의 정의와 글로벌 규모
벡터 전염병은 모기, 진드기, 벼룩 같이 흡혈하거나 체액을 섭취하는 절지동물이 병원체를 사람에게 전달하여 생기는 질환을 말합니다 numberanalytics.com.
세계보건기구(WHO)에 따르면 벡터 전염병은 **전 세계 감염병의 약 17%**를 차지하며, 매년 70만 명 이상이 사망, 천문학적 의료비용과 사회적 손실을 초래하고 있습니다 .
가장 흔한 벡터는 모기, 진드기, 벼룩이지만, 파리, 진드기류, 나방, 달팽이 등도 병원체를 전달할 수 있습니다 .
2. 모기 매개 질환
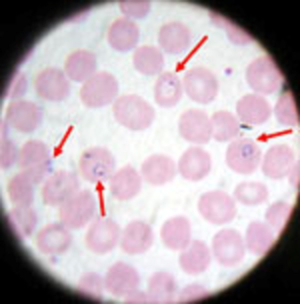
• 말라리아 (Malaria)
- 벡터: Anopheles 속 암컷 모기
- 병원체: Plasmodium 원충
- 현황: 2023년 기준 전 세계 2억 6천만 건, 60만 명 사망, 특히 아프리카 어린이 중심 en.wikipedia.org+3en.wikipedia.org+3numberanalytics.com+3.
• 댕기열 (Dengue Fever)
- 벡터: Aedes aegypti, Aedes albopictus
- 병원체: 댕기 바이러스
- 현황: 위험지역에 39억 명, 매년 9600만 건, 사망 4만 명 .
• 지카·치쿤구니야·황열·웨스트나일·일본뇌염 등
- Aedes, Culex 모기가 매개
- 지카는 태아 기형, 황열은 열사병급 발열·사망, 웨스트나일은 신경계 손상 유발 en.wikipedia.org+1en.wikipedia.org+1.
3. 진드기 및 벼룩 매개 질환
• 라임병 (Lyme Disease)
- 벡터: Ixodes 속 참진드기
- 병원체: Borrelia burgdorferi
- 증상: 초기 홍반 → 관절통·신경증 → 만성화 가능 cdc.gov+4en.wikipedia.org+4allure.com+4.
• 진드기 뇌염
- 벡터: 참진드기
- 병원체: Flavivirus 계열
- 증상: 가벼운 열부터 뇌수막염, 마비까지 en.wikipedia.org+1cdc.gov+1.
• 페스트·트렌치열 등
- 벼룩과 진드기가 매개
- 페스트(Yersinia pestis) → 수천~수만 명 사망, 2017년 벼룩 매개로 재출현도 보고됨 .
4. 발생 요인과 전파 증가 원인
• 기후 변화
- 온도 상승·강수량 증가는 모기·진드기 서식지 확장과 생식 속도 증가로 이어집니다.
- 지구 온난화로 4.7억 명 이상이 말라리아, 댕기 위험에 노출될 전망 wellcome.org.
• 인구 이동과 도시화
- 여행·교역 확대로 지카·말라리아·웨스트나일 등이 새로운 지역에 유입됨 .
- 도시화는 빈민가 배수환경 악화로 벡터 서식지 증가를 야기합니다 .
• 방제 내성
- 살충제·항생제 내성 증가로 기존 방제 방식이 약화되고, 새로운 GM모기·Wolbachia 주입 전략이 개발되나 균형 있는 관리와 사회적 논의가 필요합니다 ft.com+3ft.com+3wellcome.org+3.
5. 예방과 방역 전략
• 개인 보호
- **방충제(DEET·피카리딘)**와 모기장, 긴 옷 착용을 통한 물리적·화학적 방어 cdc.gov.
- 진드기 기피 의복과 노출 후 고온 세탁도 예방에 효과적.
• 지역사회 방역
- 산란지 제거: 화분받침, 타이어, 빗물통 고인 물 철저 제거 .
- **실내 잔류 살포(IRS)**와 장기 모기장 보급: WHO 권고 방식 .
- 생태적 방제: GM모기·Wolbachia 처리 방출, BTI 및 천적 투입 .
• 정책 및 감시
- WHO 글로벌 전략(Global Vector Control Response)(2017-2030)와 CDC의 국가 공중보건 전략 시행 who.int+2who.int+2paho.org+2.
- ArboNET, 주·국 단위 감시 시스템 활성화로 조기 경보와 통합 대응 체계 마련 pmc.ncbi.nlm.nih.gov.
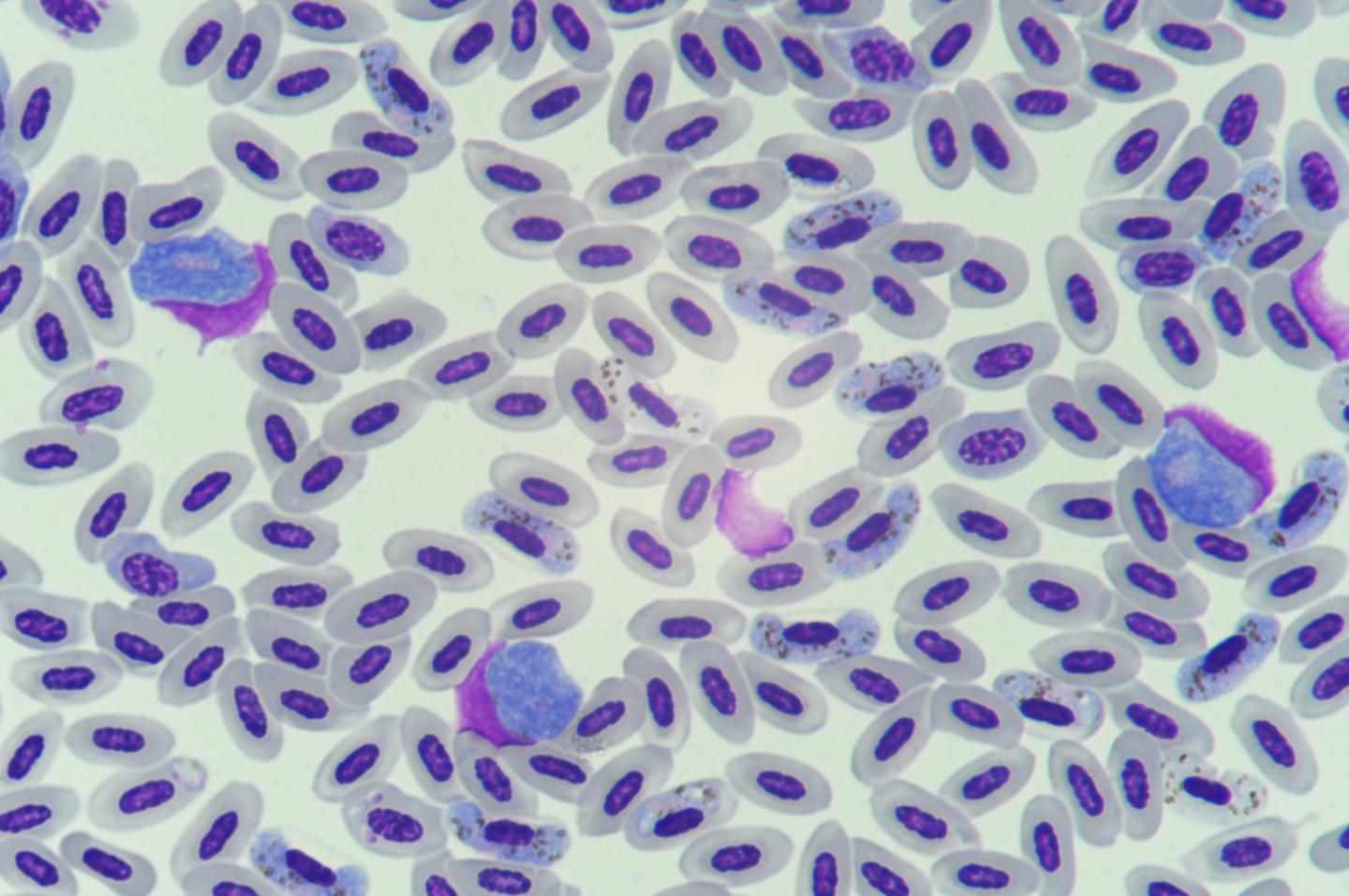
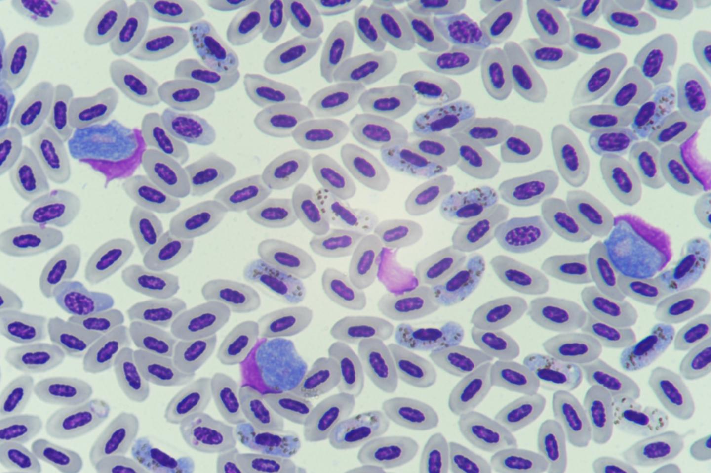
6. 진단 및 치료


- 말라리아: 혈액 도말 검사‧PCR 진단, 치료는 아르테미시닌 병용요법
- 댕기·지카: 혈청 및 항체 검사, 증상 기반 치료
- 라임병: 항생제(독시사이클린)
- 진드기 뇌염: 예방은 백신, 감염 후에는 대증요법
- 페스트: 항생제(스트렙토마이신 등) 조기 투여가 핵심
7. 현황 통계 인용
- 미국에서는 2004-2016년 벡터 전염병 사례가 6배 이상 증가, 주로 진드기 매개 질환이 77% 차지 cdc.gov.
- 인도 오디샤 주에서는 6월 말까지 188건 댕기 환자 발생, 모기 방제 캠페인 진행 중이다 .
8. 기후 변화와 미래 위험
- 모기 질환의 유럽·미국 북부 확산: 온난화로 인해 유럽·아시아·북미 지역에서도 댕기 발생이 증가 추세 .
- 말라리아 고지대 재출현 가능성: 모기 서식 범위 확대와 내성 증가로 고지대 질환 위험 상승 .
9. 요약 및 시사점
벡터 전염병은 모기, 진드기, 벼룩 같은 작은 생물이지만, 이들이 옮기는 질환은 세계 수억 명의 건강과 생명에 직결되는 공중보건 이슈입니다. 단순한 벌레 문제가 아니라 기후 변화, 도시화, 국제 교류, 생태계 파괴 등 복합적 요소들이 맞물린 결과로 나타나는 현상입니다.
- 지구적 확산: 기후 변화로 고지대, 온대 지역까지 모기·진드기 서식지가 확대되며 새로운 감염 위험이 대두되고 있습니다.
- 개인과 사회의 대응 필요: 모기장 사용, 방충제 활용, 외출 시 긴 옷 착용 등 개인 실천도 중요하지만, 지역사회 차원에서의 통합적 방역 시스템 구축이 병행돼야 합니다.
- 기술과 정책의 균형: 유전자 조작 모기(GM), Wolbachia 감염 전략 등 생물학적 신기술이 주목받지만, 이러한 기술이 환경과 생태계에 미칠 영향도 함께 고려되어야 합니다.
- 감시 체계 강화: 조기 경보 시스템과 벡터 분포 모니터링은 신속한 대처의 핵심이며, 백신 개발과 치료제 연구는 장기적 해법의 중심입니다.
벡터 전염병은 특정 지역의 문제가 아니라 전 지구적 도전 과제이며, 앞으로의 기후 변화 속에서 인류 전체가 함께 풀어야 할 문제입니다.